In the world, about 90% of people suffering from malocclusion, and 40% are requiring orthodontic treatment. One of its causes can be bruxism, a neurological disease in which dental abrasion occurs due to teeth grinding. The bite can affect the shape of the cervical spine and the entire musculoskeletal system in general, which can be accompanied by pain. To solve this problem, doctors use Botox to reduce muscle tonus. Scientists of Perm Tech are developing a software package that will predict how the shape of the face will be changed after introducing medication into it. The technology will allow doctors to calculate the required amount of Botox in advance.
More informationNews


Various engineering structural materials are now used in the industry. Scientists of Perm Tech have created a software package that will help make the materials more durable and resistant to destructions. With the help of the development, specialists will be able to obtain the most effective structure of steels, alloys, ceramics and rocks. This will enhance efficiency of the designing new materials and reduce the cost of their production.
More information
It is known that robots are used for moving heavy and dangerous objects . And how fo you find if robots are 1,5-2 times cheaper but the cargo they are moving will be 5 times heavier?
This is the project by Perm Tech developers!
More information
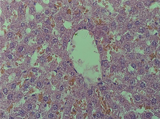
The last Saturday of June is the day when Russia celebrates the Day of the Inventor and Innovator. Researchers from the Perm Tech and the Federal Research Center of Medical and Preventive Technologies for Managing Public Health Risks are creating technology that will help make histological analyzes more accurate and notice changes in human and animal tissues at the earliest stages. Computer vision will allow to identify processes in the body quickly. The development can be applied in the study of biopsies of patients, in toxicological studies on animals and in forensic medical examination.
More information
Perm Tech is in the world leading university ranking! This time it was chosen due to experimental and engineering sciences.
More information
One pulp and paper mill produces about 50 thousand tons of liquid waste per day. Treatment facilities do not always cope with such volumes, and difficult-to-decompose waste pollutes water bodies, disrupting food chains. Scientists of the Perm Tech have developed an environmentally friendly technology that will allow them to "improve" building materials. The waste will help improve the strength and thermal insulation properties of the cement.
More information
Perm Tech scientists have proposed a method that allows to track the deformation of the earth during oil and gas production quickly and in real time. The technology will help to predict and prevent man-made accidents that can destroy buildings and communications more effectively. According to the developers, it will save 2 times more money compared to classical methods.
More information
Due to the growing population of the planet and climatic changes, people's need for food is growing. By 2050, this will require 70% more crops than now. The automation and intellectualization of agriculture will help to cope with the food crisis, experts say. In particular, agronomists use electronic maps of fields based on data from "drones". But this feature is not always available due to the high cost of drones. Young researchers from the Perm Tech have come up with a way to increase their "endurance". The lightweight design made of economical materials made it possible to preserve all the important characteristics of the UAV and increase the flight time.
More information
Young researchers from the Perm Tech have developed a prototype of a robot trainer that will help visitors to fitness clubs and sportsgrounds to perform physical exercises. "Coach" will be able to work outside in any weather conditions.
More information
Every year, the last Sunday of May, chemists from Russia and the CIS celebrate their professional holiday - the Day of the Chemist. A group of scientists from Perm Tech proposed a method for processing laminated plastics to obtain carbon sorbents. They can be used to purify wastewater from dissolved petroleum products and toxic compounds. According to the researchers, a lot of polymer waste is generated every year in the world. In particular, in Russia in 2018 the number amounted to more than 3.5 million tons, and about 12% was processed.
The scientists published the results of the research in the "Ecology and Industry of Russia" journals and the "Sorbtsionnye i Khromatograficheskie Protsessy" journal
More information
